Zakiah’s story 'My dream smile'

Zakiah Nasir

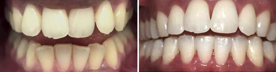
Invisalign patient Zakiah Nasir

What was the problem?

The Dental Practice is by far the best dental team I have ever had contact with. I had been very unhappy with my teeth for a while this was due to my front teeth overlapping and the general alignment of my teeth.

What was the solution?

Upon having a consultation with Dr Ahmed, he recommended I have a clear brace system, Invisalign followed by Boutique Teeth Whitening.

How was the process?

Dr Ahmed and the team at the Dental Practice were amazing throughout the whole process. They really put me at ease throughout my treatment. I attended regular check-ups and progress appointments and within what felt like no time at all I had my dream smile!

How are you feeling now?

I would 100% recommend Dr Ahmed and the dental team at the Dental Practice. They are extremely professional, knowledgeable, and friendly and are always on hand to answer any questions or queries you may have.

Zakiah Nasir before and after
For more information about Mac Dental or to book an appointment call 01625 422502